Ortodoncia con Invisalign. Caso clínico
Uno de los principales motivos de consulta hoy en día por nuestros pacientes adultos son las recidivas post-ortodoncia. Es decir, pequeños movimientos dentarios que se producen una vez finalizada la ortodoncia y, sobretodo, cuando el uso de los retenedores no ha sido el adecuado.Estos pequeños movimientos suelen preocupar mucho a nuestros pacientes porque estropean la estética de su sonrisa y, como es normal, suele ir aumentado con el paso de los años.

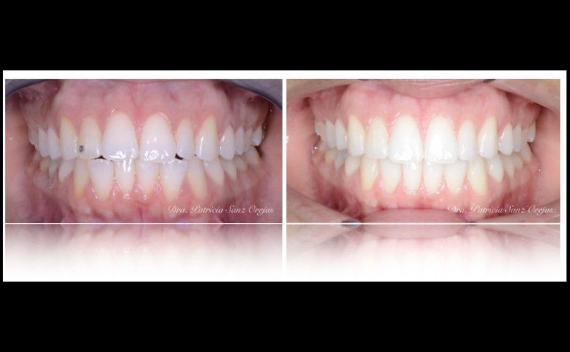
Este fue el caso de nuestra paciente. Acudió a Clínica Dental Bances porque notaba que su incisivo inferior se estaba inclinando mucho hacia delante y no le gusta el espacio que se veía entre los dientes superiores e inferiores a morder. Refería haberse realizado un tratamiento con brackets en su adolescencia y no quería ponerse de nuevo ortodoncia convencional debido a su profesión.
Uno de los requisitos de nuestra paciente era que el tratamiento fuera corto y poco molesto. Tras realizarse el estudio de ortodoncia necesario y planificar correctamente los movimientos dentarios aconsejamos a nuestra paciente el tratamiento con ortodoncia invisible Invisaling.
La duración total del tratamiento fue de 9 meses y los resultados obtenidos muy buenos. Corregimos el alineamiento así como la mordida abierta, además de satisfacer las necesidades de nuestra paciente en cuanto a comodidad, facilidad de higiene, estética y sobretodo ¡buena oclusión!.

El tratamiento Invisalign Lite es una muy buena opción de tratamiento para posible recidivas post-ortodoncia tanto en paciente adultos como adolescentes. Permite corregir problemas de apiñamiento en un corto periodo de tiempo.

