Odontopediatría en Santa Cruz de Tenerife

La odontopediatría es la rama de la odontología dedicada a la prevención, cuidado y mantenimiento de la salud de los mas pequeños, desde la madre embarazada hasta la adolescencia, ya que la alteración de su salud influye en su desarrollo.

En nuestra Clínica en Santa Cruz de Tenerife prestamos estos servicios mediante técnicas convirtiendo la visita al dentista en un juego para los niños, evitando la creación de traumas y consiguiendo nuestros objetivos de salud. Un seguimiento desde pequeño de la salud de los niños, hace que se puedan diagnosticar problemas desde su inicio, facilitando así su tratamiento.

¿Qué trata la odontopediatría?

La odontopediatría se encarga del tratamiento de de las afecciones orales del niño desde la gestación. Desde los 3 años se recomiendan visitas cada 6 meses al odontopediatra para así poder vigilar la salud oral de nuestros hijos.

Ofrecemos en la Clínica Dental Bances de Santa Cruz los siguientes servicios:

  • Asesoramiento durante el embarazo.
  • Prevención de caries y técnicas de higiene oral.
  • Asesoramiento en la dieta y en el uso de chupetes y demás habitos.
  • Empastes en dientes de leche y tratamiento de la pulpa de dientes de leche mediante pulpotomías.
  • Aplicación de flúor.
  • Selladores de fosas y fisuras.
  • Mantenedores de espacio.
  • Traumatismos en dientes de leche y permanentes.
  • Tratamiento ortopédico mediante aparatos de ortodoncia.
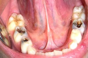
odontopediatría empastes diente de leche

¿Hay que empastar los dientes de leche?

En nuestra Clínica, son muchos los padres que nos preguntan el porqué empastar los dientes de leche si se van a caer. La respuesta siempre es clara y firme, SÍ HAY QUE EMPASTAR LOS DIENTES DE LECHE, ya que cualquier infección en un diente de leche, puede llegar a afectar al diente definitivo, provocando manchas, malformaciones…

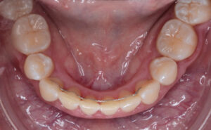
Además, el no tratar una caries en un diente de leche puede provocar dolor, y hacernos tener que extraer ese diente antes de tiempo, provocando alteraciones en la mordida, que harán que necesitemos tratamientos de ortodoncia para corregir la malposición de los dientes definitivos como consecuencia de la perdida prematura del diente de leche.

Artículos relacionados con Odontopediatría