En nuestra clínica dental en Santa Cruz de Tenerife es frecuente recibir pacientes con situaciones bucodentales muy comprometidas, que presentan dolor, múltiples caries avanzadas y enfermedad periodontal severa.
A continuación, se expone un caso real de rehabilitación oral completa bimaxilar con implantes, que refleja la complejidad y el enfoque multidisciplinar necesario en este tipo de tratamientos.
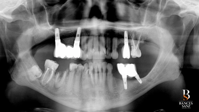
Situación inicial del paciente
- Numerosas caries que afectaban a la práctica totalidad de las piezas dentales.
- Enfermedad periodontal avanzada, con afectación de encías y hueso de soporte.
- En la arcada superior existían tres implantes, de los cuales dos pudieron conservarse, mientras que uno no presentaba condiciones adecuadas para su mantenimiento.
- En la arcada inferior, los implantes existentes no pudieron ser conservados, siendo necesaria su retirada.
Diagnóstico y planificación del tratamiento
- Fotografías intraorales y extraorales.
- Radiografías tridimensionales (CBCT).
- Escaneado digital con tecnología de última generación mediante escáner iTero Lumina.
- Evaluar con precisión el estado de los dientes, los tejidos blandos, el hueso y los implantes existentes.
- Diseñar un plan de tratamiento personalizado, seguro y predecible, adaptado a las necesidades del paciente.
Resumen de fases del tratamiento planificado
| Fase del tratamiento | Objetivo principal | Herramientas / técnicas clave |
|---|---|---|
| Diagnóstico completo | Valorar dientes, hueso e implantes previos. | Fotos, CBCT, escáner iTero Lumina. |
| Tratamiento periodontal inicial | Mejorar encías y valorar viabilidad de piezas/implantes. | Tratamiento periodontal básico. |
| Extracción de dientes y retirada de implantes no viables | Eliminar focos infecciosos y estructuras sin pronóstico. | Cirugía oral. |
| Colocación de nuevos implantes (All-on-6) | Rehabilitación oral completa bimaxilar. | Cirugía guiada, planificación digital. |
| Prótesis provisionales de carga inmediata | Estética y función desde el primer momento. | Carga inmediata en 24-48 horas. |
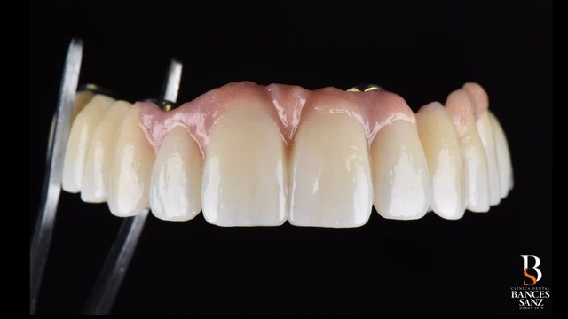
| Prótesis definitivas | Resultado estético y funcional a largo plazo. | Estructura de titanio y recubrimiento de zirconio. |
Tratamiento periodontal y decisión terapéutica
- Mejorar el estado de los tejidos periodontales.
- Valorar la viabilidad real de las piezas dentales y de los implantes presentes.
- Muchos dientes presentaban un pronóstico imposible o muy dudoso.
- Algunos implantes no ofrecían garantías a largo plazo.
- Planificar la extracción de todas las piezas dentales.
- Realizar la retirada de los implantes no viables.
- Proceder a la colocación de nuevos implantes mediante cirugía guiada, dentro de un plan de rehabilitación oral completa bimaxilar.
Cirugía de implantes y carga inmediata
Se planificó una rehabilitación oral completa bimaxilar mediante la técnica All-on-6, colocando seis implantes en cada arcada, e integrando los implantes que sí podían mantenerse dentro del plan global.
Técnica All-on-6 bimaxilar
- Colocar seis implantes estratégicamente distribuidos en cada arcada.
- Diseñar una prótesis fija completa soportada por esos implantes.
- La posición de los implantes.
- La estabilidad primaria necesaria para la carga inmediata.
Carga inmediata en 24–48 horas
La planificación permitió realizar una carga inmediata, de forma que el paciente disponía de prótesis provisionales de alta estética en un plazo de 24–48 horas tras la intervención quirúrgica.



Tratamiento multidisciplinar
- Especialistas en cirugía oral e implantología.
- Especialistas en prótesis.
- Un laboratorio dental avanzado, clave para conseguir:
- Ajustes precisos de las estructuras.
- Una estética excelente, incluso en las prótesis provisionales.
- Lograr una oclusión equilibrada.
- Diseñar una sonrisa acorde al rostro del paciente.
- Garantizar la función masticatoria desde fases muy tempranas del tratamiento.
Evolución y prótesis definitivas
- Analgesia.
- Antiinflamatorios.
- Antibióticos, según pauta clínica.




- Controles periódicos de la evolución de los implantes.
- Ajustes de las prótesis provisionales para optimizar función y estética.
- Estructura de titanio.
- Recubrimiento de zirconio.
Función y calidad de vida tras la rehabilitación completa
- Seguir una dieta blanda.
- Evitar alimentos muy duros o pegajosos durante las primeras semanas.
- Recuperar la función masticatoria.
- Mejorar de forma notable la estética de la sonrisa.
- Ganar en confianza y bienestar en su día a día.
Clínica dental en Santa Cruz de Tenerife especializada en rehabilitación oral con implantes
- Planificación digital avanzada.
- Cirugía guiada.
- Técnicas como All-on-6 y carga inmediata.
Conclusión del caso clínico
- Dolor recurrente.
- Múltiples caries.
- Enfermedad periodontal avanzada.
- Fracasos previos de implantes o restauraciones.
