Si estás valorando iniciar un tratamiento de ortodoncia en Santa Cruz de Tenerife, es muy probable que hayan surgido dudas sobre los microtornillos (también conocidos como minitornillos o microimplantes). Estos pequeños dispositivos de titanio han revolucionado la ortodoncia moderna, permitiendo a los especialistas mover los dientes y los huesos maxilares con una precisión que antes era difícil de imaginar.
En nuestra clínica dental en Santa Cruz de Tenerife, utilizamos los microtornillos principalmente en casos donde buscamos un control milimétrico del movimiento dental o cuando nos enfrentamos a tratamientos de mayor complejidad.
Sin embargo, sabemos que una de las grandes preocupaciones de nuestros pacientes es el miedo al dolor o a posibles complicaciones. En este artículo, te explicamos de forma clara y honesta todo lo que debes saber para tomar una decisión informada y tranquila.
¿Qué son exactamente los microtornillos o microimplantes?
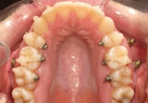
Antes de hablar del dolor, es fundamental entender qué son. Los microtornillos son pequeñas estructuras de titanio (un material biocompatible) que se fijan temporalmente en el hueso maxilar o mandibular.
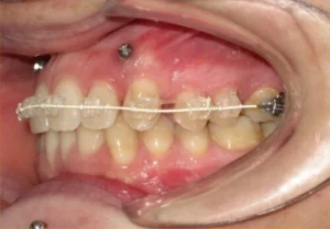
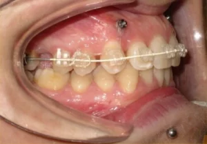
Su función principal es servir de anclaje absoluto. Imagina que son como un «poste firme» del que tiramos para mover los dientes a la posición deseada sin que los dientes de apoyo sufran movimientos indeseados. Gracias a ellos, logramos resultados más eficaces, rápidos y estables.
¿Cómo se colocan y duelen los microtornillos?
Esta es la pregunta del millón. La respuesta corta es: no, la colocación no duele.
La inserción de un microtornillo es una técnica mínimamente invasiva. Aunque suena a «cirugía», en realidad es un procedimiento muy sencillo:
- Anestesia local: Solo se anestesia la pequeña zona de la encía donde irá el tornillo. Es la misma anestesia que se usa para un empaste simple.
- Sin cortes: En la inmensa mayoría de los casos, no es necesario hacer incisiones con bisturí ni dar puntos de sutura.
- Rapidez: El proceso suele durar apenas unos minutos.
Es posible que notes una ligera presión mientras el ortodoncista coloca el dispositivo, pero no sentirás dolor agudo gracias a la anestesia.
Nota: La encía tiene terminaciones nerviosas (por eso ponemos anestesia), pero el hueso donde se aloja el tornillo no tiene sensibilidad dolorosa al atornillado, lo que hace el proceso muy llevadero.
Dolor después de la colocación: ¿Qué es normal?
Una vez pasado el efecto de la anestesia (unas horas después), es normal sentir cierta incomodidad. El tejido blando y el hueso han sido manipulados y necesitan adaptarse.
Lo que puedes esperar:
- Molestia leve y muy localizada.
- Sensación de presión o tirantez.
- Los síntomas disminuyen drásticamente tras las primeras 24-48 horas.
Generalmente, el dolor post-tratamiento es menor que el que se siente, por ejemplo, tras una extracción dental. El ortodoncista te recetará analgésicos o antiinflamatorios para que la recuperación sea lo más cómoda posible.
Complicaciones de los microtornillos en ortodoncia
Aunque es una técnica muy segura con una tasa de éxito altísima, como en cualquier procedimiento sanitario, pueden surgir pequeños inconvenientes. La mayoría son leves y de fácil solución.
Tabla de complicaciones frecuentes y soluciones
| Complicación | Síntomas habituales | Actuación recomendada |
|---|---|---|
| Inflamación local | Encía alrededor del tornillo roja o inflamada. | Mejorar la higiene (cepillado suave) y usar geles con clorhexidina. |
| Aflojamiento (Movilidad) | Sensación de que el tornillo se mueve o está "flojo". | Acudir a consulta. Puede requerir retirarlo y recolocarlo en otra zona. |
| Roces o Aftas | Pequeña herida en la mejilla o labio por el roce de la cabeza del tornillo. | Usar cera de ortodoncia sobre el tornillo hasta que la mucosa se "acostumbre". |
| Pérdida del tornillo | El tornillo se cae espontáneamente. | No te asustes. Guárdalo y pide cita con tu ortodoncista. |
¿Por qué se puede aflojar un microtornillo?
A veces el tornillo se afloja y esto no siempre es culpa del paciente ni del doctor. Las causas principales son:
- Calidad del hueso: Hay zonas donde el hueso es menos denso.
- Remodelación ósea: Al mover los dientes, el hueso cambia de forma activamente. Si este cambio ocurre muy rápido alrededor del tornillo, este puede perder estabilidad.
Si se cae, la repercusión suele ser mínima. Simplemente se busca una nueva ubicación o se espera a que el hueso sane para volver a colocarlo.
Guía de cuidados: Mantén tus microtornillos seguros
Para evitar inflamaciones y dolor, la higiene es tu mejor aliada. Sigue estos consejos básicos:
- Primeras 24 horas: No cepilles directamente sobre el tornillo con fuerza. Puedes enjuagar suavemente.
- Higiene diaria: Pasado el primer día, es vital cepillar la cabeza del tornillo suavemente para que no se acumule placa bacteriana ni restos de comida. Un tornillo sucio es la causa nº1 de inflamación y fracaso.
- Clorhexidina: Aplicar un gel o spray antiséptico (según te paute tu dentista) alrededor del tornillo durante los primeros días.
- Evita jugar con él: No lo toques con la lengua ni con los dedos.
- Dieta: Evita alimentos muy duros o pegajosos que puedan golpearlo o engancharse en él los primeros días.
Preguntas frecuentes sobre microtornillos (FAQ)
Aquí resolvemos las dudas rápidas que más nos consultan nuestros pacientes en Santa Cruz de Tenerife:
¿Cuánto tiempo tendré que llevar los microtornillos?
Depende de la complejidad del movimiento que necesitemos realizar. En algunos casos pueden ser solo unos meses (3-6 meses) y en otros acompañan al paciente durante gran parte del tratamiento (un año o más). Se retiran en cuanto han cumplido su función de anclaje.
¿Queda cicatriz al quitarlos?
No. El orificio que deja el microtornillo es minúsculo (del grosor de una mina de bolígrafo). La encía cicatriza de forma natural en 2 o 3 días sin dejar ninguna marca visible.
¿Se pueden usar microtornillos con Invisalign u ortodoncia invisible?
¡Sí! De hecho, es una combinación muy potente. Los microtornillos permiten que los alineadores invisibles realicen movimientos complejos que, por sí solos, serían muy difíciles o lentos de conseguir.
¿Hay una edad mínima para colocarlos?
Generalmente esperamos a que la calidad ósea sea la adecuada, lo cual suele ocurrir a partir de la adolescencia (11-12 años). Sin embargo, el ortodoncista evaluará la madurez del hueso en cada paciente mediante radiografías.
¿Puedo hacer deporte con ellos puestos?
Sí, puedes hacer vida totalmente normal. Si practicas deportes de contacto (como boxeo o artes marciales), te recomendamos usar un protector bucal a medida para evitar golpes directos sobre la zona del tornillo.






Tu clínica experta en Santa Cruz de Tenerife
Si buscas tratamientos avanzados de ortodoncia en Tenerife, la experiencia del equipo es clave. El uso de microtornillos requiere un conocimiento profundo de la anatomía y la biomecánica dental.
En nuestra clínica, evaluamos cada caso de forma individual. Si te han dicho alguna vez que tu caso es «imposible» o «muy complejo», te animamos a pedir una segunda opinión. Gracias a más de 45 años de evolución en la ortodoncia y al uso de anclaje esquelético (microtornillos), hoy podemos resolver casos que antes solo eran posibles con cirugía mayor.
¿Tienes dudas?
Si vives en Santa Cruz de Tenerife o alrededores y quieres saber si los microtornillos son la solución para tu sonrisa, contacta con nosotros. Nuestro equipo estará encantado de estudiar tu caso y ofrecerte un plan de tratamiento seguro, eficaz y con las menores molestias posibles.
