A la mayoría de nuestros pacientes no sólo les preocupa su salud dental sino que, además, buscan mejorar la estética de su sonrisa mediante procedimientos poco dolorosos que respeten la integridad de sus dientes. Por eso, realizamos tratamientos que apenas alteran la superficie dental (lo que se conoce como rehabilitaciones mínimamente invasivas) mediante una planificación digital previa, es decir, mediante Diseño Digital de la Sonrisa (DDS). Nuestro objetivo es cambiar aquellas restauraciones que han empeorado con el paso del tiempo y que no cumplen con las exigencias estéticas actuales y, en otras ocasiones, cambiar aquello que no agrada a nuestros pacientes.
La mayoría de ellos nos preguntan: «¿qué podemos hacer para mejorar mi sonrisa?«. Por ello, el primer paso es conocer las expectativas del paciente y analizar detenidamente su caso. Sacamos fotografías intraorales y extracorales para poder simular digitalmente los cambios que queremos realizar en la sonrisa; también tomamos modelos de los dientes superiores e inferiores y radiografías para asegurar que los tejidos adyacentes, dientes, encía y hueso están sanos.

Pero no solo es necesario realizar una correcta planificación. Utilizamos materiales de alta calidad que nos aseguren resultados excelentes, colaboramos con un equipo de técnicos de laboratorio muy cualificados y realizamos un correcto tratamiento de los tejidos que rodean los dientes para asegurar que nuestra restauración quedará perfectamente integrada.

Para colocar las restauraciones definitivas son necesarias dos citas. En la primera de ella anestesiamos únicamente la zona de la boca donde vamos a trabajar. Preparamos la superficie de los dientes y realizamos un correcto aislamiento de la encía que asegure un buen asentamiento de la restauración (carilla) ya que, sabemos con certeza, es la clave para que el resultado sea natural. En esta cita el paciente se irá de la clínica con lo que llamamos “restauraciones provisionales” que le permitirán realizar una vida totalmente normal.

Aproximadamente, una semana después se realiza el cementado definitivo de las restauraciones. En caso de que nuestro paciente sea bruxista (es decir, aprieta mucho los dientes), indicamos una férula de descarga que asegure la estabilidad de nuestro tratamiento con el paso del tiempo.
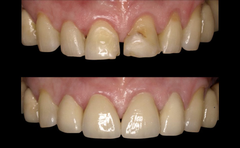
Carillas dentales
En esta foto se puede ver la estética natural obtenida con estas carillas dentales de circonio e-max, de altísima resistencia para aguantar la parafunción que presentaba nuestra paciente y que, a la vez, confieren una gran estética dando una anatomía dental natural.
El éxito del tratamiento de carillas dentales se basa en: una buena planificación, unos registros adecuados sin descuidar una buena toma de color (importantísimo para el éxito) y usar los medios digitales y manuales de los que disponemos para conseguir los mejores resultados.

