¿Me puedo poner ortodoncia si tengo periodontitis?
La periodontitis es una infección crónica de las encías de causa bacteriana que afecta a
El Tratamiento de Ortodoncia es la parte de la Odontología que se encarga de corregir la posición de los dientes, y los huesos maxilar y mandibular, así como de guiar y favorecer la correcta erupción de los dientes y mejorar la estética facial y de la sonrisa.
Una correcta alineación de los dientes evita la aparición de gran cantidad de problemas bucales como son problemas de la encía y el hueso, ayuda a que la masticación sea más efectiva, a que la higiene sea más fácil y, por consiguiente, evita la aparición de caries. Además, ayuda a mejorar la autoestima del paciente al conseguir una sonrisa más bonita y estética.
En nuestra clínica en Santa Cruz de Tenerife, la Dra. Patricia Sanz Orejas, está especializada en ortodoncia infantil y de adultos, así como en ortopedia dentofacial, tratando problemas funcionales que aparecen en la dentición temporal o maloclusiones (problemas en la mordida) en edades más tardías.
Según la edad del paciente y el problema a corregir existen varios tratamientos de ortodoncia:
La edad ideal para realizar la primera consulta es a los 7 años, edad en la que ya han erupcionado las primeras muelas definitivas. Aun así, tan pronto como detectemos algún problema en la mordida o en la posición de los dientes es el momento ideal para visitar a nuestro ortodoncista.
Realizar una revisión de la mordida y los dientes a los 6-7 años nos permitirá corregir problemas de una manera más sencilla que en edades avanzadas, cuando el problema ya se ha agravado. Además, evitaremos problemas en el desarrollo de los huesos faciales en la adolescencia.
El tratamiento de ortodoncia con brackets puede realizarse a cualquier edad, siempre que hayan erupcionado todos los dientes definitivos.
Conseguir una correcta alineación de los dientes, mejorar la distribución de las cargas de la masticación y favorecer la correcta articulación de los dientes superiores e inferiores es un tratamiento que se puede realizar a cualquier edad. En la edad adulta, el movimiento de los dientes cuesta más que en la infancia, pero los resultados que obtenemos son igual de efectivos.
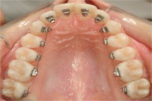
 Ortodoncia Convencional: basado en la colocación de brackets en todos los dientes. Existen diferentes tipos según las necesidades de cada caso: brackets convencionales / metálicos o estéticos (que pueden ser cerámicos, de resina o de zafiro). En este tipo de ortodoncia se colocan gomas alrededor de cada bracket que pueden ser grises, transparentes o de cualquier color: rojo, verde, amarillo, etc.
Ortodoncia Convencional: basado en la colocación de brackets en todos los dientes. Existen diferentes tipos según las necesidades de cada caso: brackets convencionales / metálicos o estéticos (que pueden ser cerámicos, de resina o de zafiro). En este tipo de ortodoncia se colocan gomas alrededor de cada bracket que pueden ser grises, transparentes o de cualquier color: rojo, verde, amarillo, etc. Ortodoncia Invisible: técnica de ortodoncia caracterizada porque el movimiento de los dientes se consigue mediante la colocación de férulas transparente que se cambian cada quince días. La técnica más conocida es el Sistema Invisalign, consiguiendo resultados sorprendentes en un corto periodo tiempo.
Ortodoncia Invisible: técnica de ortodoncia caracterizada porque el movimiento de los dientes se consigue mediante la colocación de férulas transparente que se cambian cada quince días. La técnica más conocida es el Sistema Invisalign, consiguiendo resultados sorprendentes en un corto periodo tiempo. Ortodoncia Lingual: se basa en la colocación de brackets de oro en la cara interna de los dientes. Es una técnica con gran estética, ya que los brackets no se ven.
Ortodoncia Lingual: se basa en la colocación de brackets de oro en la cara interna de los dientes. Es una técnica con gran estética, ya que los brackets no se ven.La duración exacta de un tratamiento de ortodoncia es difícil de determinar. Siempre podemos realizar una aproximación, pero el paciente debe tener en cuenta que influyen una gran cantidad de factores que no dependen del profesional o de la técnica que utilicemos como son:
La duración media es de 2 años y medio.
Para determinar qué tratamiento necesitamos y cuál es el aparato indicado para su corrección, nuestro equipo realizará un estudio de ortodoncia minucioso que constará de:
La periodontitis es una infección crónica de las encías de causa bacteriana que afecta a
La mayoría de los pacientes vienen buscando mejorar su sonrisa con métodos estéticos, indoloros y
Ortodoncia invisible al mejor precio Un año más… ¡Repetimos experiencia! Las Jornadas de Ortodoncia Invisible
Ortodoncia con Invisalign. Caso clínico Uno de los principales motivos de consulta hoy en día
 
															Autor
¿Quieres conocernos más? 
Síguenos en redes